- 
				English
				  
- 
				Japanese
				  
- 
				Chinese(Simplified)
				  
- 
				Chinese(Traditional)
				  
 
 
	
	
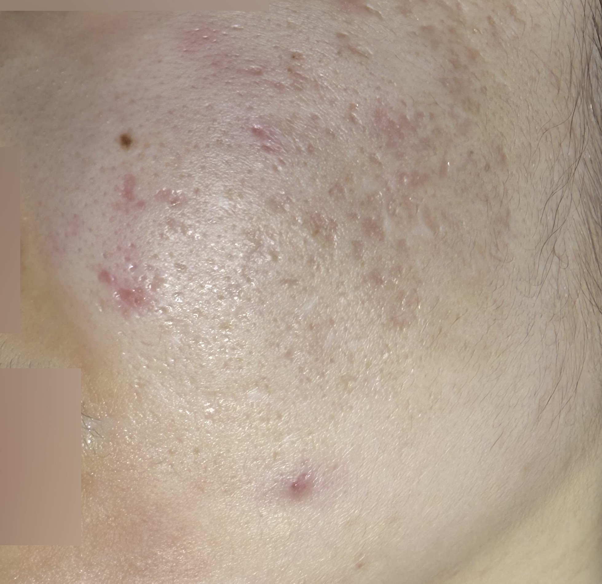
   청주점 치료 케이스
	
        
		                        
                  
                      - 
                          2024.01.13  촬영 
- 
                          2024.10.24  촬영 
 
                        
                  
                      - 
                          2025.06.19  촬영 
- 
                          2025.10.11  촬영 
 
                        
                  
                      - 
                          2024.10.08  촬영 
- 
                          2025.07.28  촬영 
 
                        
                  
                      - 
                          2024.05.11  촬영 
- 
                          2024.08.02  촬영 
 
                        
                  
                      - 
                          2025.03.06  촬영 
- 
                          2025.09.02  촬영 
 
                        
                  
                      - 
                          2025.06.10  촬영 
- 
                          2025.08.28  촬영 
 
                        
                  
                      - 
                          2025.04.28  촬영 
- 
                          2025.07.28  촬영 
 
                        
                  
                      - 
                          2025.02.27  촬영 
- 
                          2025.07.17  촬영 
 
                        
                  
                      - 
                          2024.08.31  촬영 
- 
                          2025.07.29  촬영 
 
                        
                  
                      - 
                          2025.05.02  촬영 
- 
                          2025.07.25  촬영 
 
                        
                  
                      - 
                          2024.11.21  촬영 
- 
                          2025.7.21  촬영 
 
                        
                  
                      - 
                          2025.02.10  촬영 
- 
                          2025.07.26  촬영 
 
                        
                  
                      - 
                          2025.03.13  촬영 
- 
                          2025.06.26  촬영 
 
                        
                  
                      - 
                          2024-04-25  촬영 
- 
                          2024-06-14  촬영 
 
                        
                  
                      - 
                          2025-03-20  촬영 
- 
                          2025-06-26  촬영 
 
                        
                  
                      - 
                          2025-01-10  촬영 
- 
                          2025-05-09  촬영 
 
                        
                  
                      - 
                          2024.09.13  촬영 
- 
                          2025.05.16  촬영 
 
                        
                  
                      - 
                          2024-09-13  촬영 
- 
                          2025-05-26  촬영 
 
                        
                  
                      - 
                          2024-10-21  촬영 
- 
                          2025-04-25  촬영 
 
                        
                  
                      - 
                          2024-10-14  촬영 
- 
                          2025-02-08  촬영 
 
                        
                  
                      - 
                          2025-01-13  촬영 
- 
                          2025-02-28  촬영 
 
                        
                  
                      - 
                          2024-03-26  촬영 
- 
                          2024-08-27  촬영 
 
                        
                  
                      - 
                          2024-04-04  촬영 
- 
                          2024-08-27  촬영 
 
                        
                  
                      - 
                          2024-12-17  촬영 
- 
                          2025-02-20  촬영 
 
                        
                  
                      - 
                          2024-11-08  촬영 
- 
                          2025-02-20  촬영 
 
                        
                  
                      - 
                          2024-01-06  촬영 
- 
                          2024-02-20  촬영 
 
                        
                  
                      - 
                          2024-07-30  촬영 
- 
                          2025-01-31  촬영 
 
                        
                  
                      - 
                          2024-07-15  촬영 
- 
                          2024-11-07  촬영 
 
                        
                  
                      - 
                          2024-09-03  촬영 
- 
                          2024-12-07  촬영 
 
                        
                  
                      - 
                          2024-10-11  촬영 
- 
                          2025-01-06  촬영 
 
                        
                        
                  
                      - 
                          2024-06-26  촬영 
- 
                          2024-08-22  촬영 
 
                        
                  
                      - 
                          2024-07-13  촬영 
- 
                          2024-09-28  촬영 
 
                        
                  
                      - 
                          2018-10-15  촬영 
- 
                          2019-02-07  촬영 
 
                        
                  
                      - 
                          2015-12.21  촬영 
- 
                          2016-04-09  촬영 
 
                        
                  
                      - 
                          2024-04-22  촬영 
- 
                          2024-07-08  촬영 
 
                        
                  
                      - 
                          2024-06-25  촬영 
- 
                          2024-09-21  촬영 
 
                        
                  
                      - 
                          2024-05-11  촬영 
- 
                          2024-08-02  촬영 
 
                        
                  
                      - 
                          2024-04-22  촬영 
- 
                          2024-09-03  촬영 
 
                        
                  
                      - 
                          2024-09-02  촬영 
- 
                          2024-09-14  촬영 
 
                        
                  
                      - 
                          2024-07-27  촬영 
- 
                          2024-08-27  촬영 
 
                        
                        
                  
                      - 
                          2024-04-04  촬영 
- 
                          2024-07-05  촬영 
 
                        
                  
                      - 
                          2024-05-11  촬영 
- 
                          2024-08-02  촬영 
 
                        
                  
                      - 
                          2024-03-25  촬영 
- 
                          2024-06-27  촬영 
 
                        
                  
                      - 
                          2024-04-16  촬영 
- 
                          2024-05-21  촬영 
 
                        
                  
                      - 
                          2024-03-25  촬영 
- 
                          2024-06-21  촬영 
 
                        
                  
                      - 
                          2024-01-30  촬영 
- 
                          2024-05-20  촬영 
 
                        
                  
                      - 
                          2024-03-22  촬영 
- 
                          2024-05-17  촬영 
 
                        
                  
                      - 
                          2022-02-03  촬영 
- 
                          2022-05-30  촬영 
 
                        
                        
                        
                        
                        
                        
                        
                        
                        
                        
                        
                        
                        
                        
                        
                        
                        
                        
                        
                        
                        
                        
                        
                        
                        
                        
                        
                        
                        
                        
                        
                        
                        
                        
                        
                        
                        
                        
                        
                        
                        
                        
                        
                        
                        
                        
                        
                        
                        
                        
                        
                        
                        
                        
                        
                        
                        
                        
                        
                        
                        
                        
                        
                        
                        
                        
                        
                        
                        
                        
                        
          		   
        		
		
     
	
		 
- 안녕하세요! 후 한의원 청주점 원장 이예지, 구소라입니다.
 후 한의원은 끊임없는 노력과 관심을 통한 자연스러운 아름다움을 추구합니다.
 
 외적인 아름다움을 더하고 근본적인 건강, 그리고 자신감까지 되찾아 최상의 결과를 얻을 수 있도록 노력하겠습니다.
 환자분이 점차 밝아지는 과정을 보며 함께 웃는 한의원이기에,
 한분 한분 최선을 다한 맞춤 치료, 사람을 향한 진료를 약속드립니다.
		
		
			
				 
- 現) 후한의원 청주점 대표원장
 前) 생기한의원 청주점 진료원장
 前) 자생한방병원 수련의
 닥톡 네이버 지식in 상담한의사
 네이버 하이닥 한방피부과 자문한의사
 
 EBC '여의보감' 출연 및 자문한의사
 한방비만치료 전문가과정 수료
 한방비만치료 인증한의사
 2023 산림복지진흥원 장성숲체원 건강복지 강의
 2024 강원랜드 마음챙김캠프 프로그램 강의
 
 대한 트랜스테라피 연구회 정회원
 대한 두피탈모학회 정회원
 한방매선학회 정회원
 한방피부과학회 정회원
 대한아토피학회 정회원
 대한한의학회 정회원
 한방비만학회 정회원
- 이예지 대표원장
 
	
		
		
			
				 
- 現) 후한의원 청주점 진료원장
 前) 사대한의원 진료원장
 前) 차한의원 진료원장
 前) 강추한방병원 진료원장
 네이버 하이닥 한방피부과 자문한의사
 닥톡 네이버 지식in 상담한의사
 
 한방비만치료 전문가과정 수료
 한방비만치료 인증한의사
 
 대한통합방제학회 정회원
 한방비만학회 정회원
 대한침도학회 회원
 한방매선학회 정회원
 대한한의학회 정회원
 RMSK 미국 근골격계 초음파자격
 대한 트랜스테라피 연구회 정회원
- 구소라 원장
 
 
	
	
		
			- hoo KakaoTalk 
- 상담을 원하는 지점을 클릭해 주세요