|
[후한의원 칼럼] 여드름, 왜 적극적인 치료가 필요할까요? 2026-01-29 hit.284 |
|
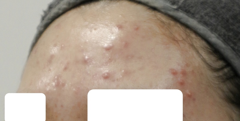
여드름 자국이나 흉터로 고민하며 내원하시는 분들 중에는, 청소년기에 여드름을 방치하거나 제대로 치료하지 못해 흔적이 남은 경우가 많습니다. 이미 생긴 자국과 흉터는 치료에 많은 시간과 노력이 필요하기에, 여드름이 발생한 초기에 적절히 치료하고 꾸준히 관리하는 것이 무엇보다 중요합니다. 그러나 청소년기의 여드름은 사춘기라는 성장 과정에서 흔히 나타나는 자연스러운 현상으로 인식되어, 치료의 필요성이 간과되기 쉽습니다. 특히 보호자분들은 여드름을 일시적인 문제로 여기거나, 시간이 지나면 저절로 사라질 것이라 생각하여 적극적인 치료를 미루는 경우가 많은데요. 이러한 방치는 염증의 악화를 초래해 색소침착이나 흉터를 남기고, 피부 재생 능력을 저하시킬 수 있습니다. 더불어 예민한 청소년 시기에는 여드름이 단순한 외모적인 문제를 넘어 심리적 스트레스와 자신감 저하로 이어질 수 있습니다. 따라서 정확한 진단을 바탕으로 개인의 피부 상태에 맞는 적절한 치료를 받으시는 것을 권장 드립니다. 이에 오늘은 청소년 여드름 관련 케이스를 공유해보려고 합니다. Case 1) 여드름 치료 전(250512) 15세 무렵부터 여드름이 조금씩 발생하기 시작한 본 환자분은, 피부과에서 처방 받은 연고를 몇 차례만 사용한 후 더 이상 치료를 지속하지 않으셨습니다. 내원 당시에는 이마와 볼 부위에 화농성 여드름과 면포가 다수 관찰되었으며, 붉은 자국 또한 동반된 상태였습니다. 여드름은 호르몬뿐 아니라 다양한 내외적 요인이 함께 작용하여 생기는 복합적인 피부 문제이므로 근본 원인을 찾아 치료를 하는 것이 중요합니다. 이에 항염증 및 피부재생에 도움이 되는 한약을 복용하며 압출 및 pdt, 약침 등의 치료를 3달 동안 진행하였습니다. 치료 2달 차(250704) 학업 등으로 내원 간격은 2–3주로 길어졌지만, 한약 복용과 홈케어를 꾸준히 지속해 주신 덕분에 초진 대비 염증성 병변의 감소가 확인되었습니다 치료 3달 차(250830) 250512~250830 치료를 시작한 지 약 3달 후에는 이마에 반복적으로 올라오던 염증의 빈도와 개수가 크게 줄었고, 이에 따라 붉은 기도 상당히 진정된 것을 확인했습니다 여드름 치료 전(250512) 치료 2달 차(250704) 치료 3달 차(250830) 250512~250830 Case2) 여드름 치료 전(250813) 본 환자분은 고등학생으로, 타 병원에서 압출·경구약·연고 치료를 꾸준히 받아 오셨지만 여드름이 쉽게 가라앉지 않아 내원하셨습니다. 내원 당시에는 이마·볼·턱 부위 전반에 화농성 여드름과 면포가 고르게 나타났고, 특히 볼에는 붉은 자국이 이미 형성된 상태였습니다. 진료를 통해 전신 상태와 피부 경향을 확인한 뒤 이에 맞는 한약을 처방하였으며, 1주 간격으로 내원하여 압출, 약침, PDT 등을 함께 진행하였습니다. 치료 2달반 차 (251101) 환자분 사정으로 한약 복용을 꾸준히 하지는 못하셨으나, 치료 2달 반이 지난 현재 염증성 병변이 눈에 띄게 감소한 모습을 확인할 수 있었습니다. 250813~251101 이미 형성된 붉은 자국은 아직 남아 있으나, 염증이 안정됨에 따라 점차 옅어질 것으로 예상되며 이후에는 자국 개선을 위한 단계적 치료를 계획할 예정입니다. 여드름 치료 전(250813) 치료 2달반 차(251101) 250813~251101 여드름은 한 번의 치료로 완전히 사라지는 질환 이라기보다, 적절한 치료와 꾸준한 치료를 통해 장기적으로 조절해 나가야 하는 만성적인 피부 상태입니다. 따라서 적극적인 치료를 통해 피부의 염증과 불균형을 안정시키고, 이후에는 부담이 적은 유지 관리로 건강한 피부 상태를 오래 지속할 수 있도록 하는 접근이 바람직합니다. |

